Dra. Carmen Mozas
Licenciada en Medicina y Cirugía y Estomatología por la UPV.
Se encarga de tratamientos restauradores, patologías bucales y tratamientos de Ortodoncia.
La ortodoncia es el tratamiento utilizado para corregir problemas de alineación dental. El tipo más conocido es el de los brackets o «hierros», aunque hoy en día existen opciones más modernas y discretas.
En Clínica Dental Mozas, ofrecemos tratamientos de ortodoncia en Vitoria para pacientes de todas las edades. En niños, la ortodoncia se utiliza para corregir maloclusiones y alinear dientes apiñados. En adultos, es frecuente realizar un tratamiento de ortodoncia previo a implantes o carillas para obtener resultados más efectivos y duraderos.
Utilizamos el sistema de brackets autoligables, que se caracteriza por su baja fricción y la ausencia de ligaduras o gomas. Esto no solo reduce el dolor, sino que también acelera el movimiento dental, logrando resultados más rápidos y cómodos.
La ortodoncia es el tratamiento utilizado para corregir problemas de alineación dental. El tipo más conocido es el de los brackets o «hierros», aunque hoy en día existen opciones más modernas y discretas.
En Clínica Dental Mozas, ofrecemos tratamientos de ortodoncia en Vitoria para pacientes de todas las edades. En niños, la ortodoncia se utiliza para corregir maloclusiones y alinear dientes apiñados. En adultos, es frecuente realizar un tratamiento de ortodoncia previo a implantes o carillas para obtener resultados más efectivos y duraderos.
Utilizamos el sistema de brackets autoligables, que se caracteriza por su baja fricción y la ausencia de ligaduras o gomas. Esto no solo reduce el dolor, sino que también acelera el movimiento dental, logrando resultados más rápidos y cómodos.
Las mejores soluciones dentales

Son brackets metálicos de baja fricción que facilitan el movimiento dental y ayudan a alinear los dientes de forma eficiente.

Son brackets de cerámica y de color transparente, que se integran con el color del diente, sin decolorarse ni teñirse con el tiempo.

Son procedimientos utilizados en odontología para guiar y corregir el crecimiento de los huesos maxilares, especialmente en niños y adolescentes.

La ortodoncia invisible utiliza alineadores transparentes personalizados para cada paciente en lugar de brackets y alambres.
Los brackets autoligables son un sistema de ortodoncia con más de 20 años en el mercado. Es un aparato de arco recto avanzado, diseñado y perfeccionado. Ayuda a los profesionales a conseguir resultados excepcionales con fuerzas mecánicas más suaves.
¿Tienes dudas? ¡Contacta con nosotros a través de Whatsapp!
Equipo experto
Licenciada en Medicina y Cirugía y Estomatología por la UPV.
Se encarga de tratamientos restauradores, patologías bucales y tratamientos de Ortodoncia.
Profesional dedicada en exclusividad al tratamiento de encías y colocación de Implantes. Dedicación con experiencia a Estética Perioral con tratamiento de Ácido Hialurónico
Profesional con dedicación exclusiva en Endodoncia o tratamiento de conductos
La Dra. Cano es la médico anestesista que hace las sedaciones en la clínica.
Jennifer es nuestra higienista dental veterana. Sigue de cerca la evolución de los pacientes periodontalmente comprometidos y con implantes.
Sara es higienista y también se encarga de coordinar los trabajos digitales realizados con escaner intraoral 3D.
Elene es la higienista y auxiliar que mejores consejos de prevención en la salud dental te puede dar.
Amaia es la coordinadora clínica. Es la persona que te acompañará desde el primer momento hasta el final de tu visita. Te proporcionará toda la información que necesites.
Ortodoncista experta en ortopedia dentofacial infantil y funcionalidad oral.
Odontóloga especializada en estética dental, rehabilitación oral y odontología restauradora (colaborador externo).
paso a paso del tratamiento

Toma de registros
Escaneo intraoral, TAC, teleradiografía y fotos extraorales e intraorales

Diagnóstico
Diagnóstico y determinación del plan de tratamiento

Cementado
Cementado de la ortodoncia

Cambio de arcos
Cambio de arcos mensual según los meses de tratamiento

Estabilización
Fase se estabilización (3 últimos meses con el mismo arco)

Retirada
Retirada de la ortodoncia

Férulas de retención
Toma de registros para la elaboración de férulas de retención

Ajuste final
Ajuste y entrega de férulas

Escaneo intraoral, TAC, teleradiografía y fotos extraorales e intraorales

Diagnóstico y determinación del plan de tratamiento

Cementado de la ortodoncia

Cambio de arcos mensual según los meses de tratamiento

Fase se estabilización (3 últimos meses con el mismo arco)

Retirada de la ortodoncia

Toma de registros para la elaboración de férulas de retención

Ajuste y entrega de férulas
más información
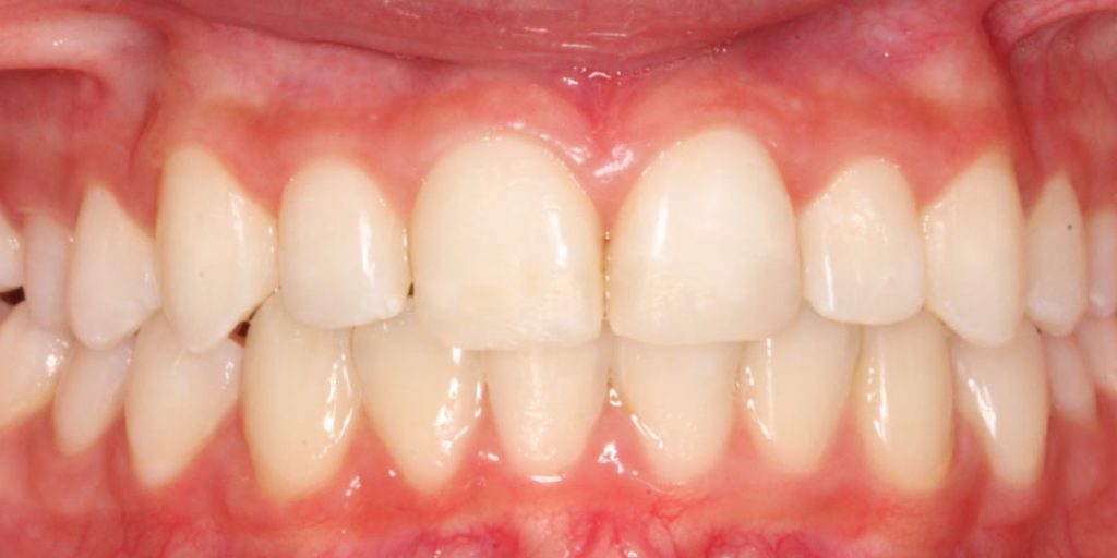
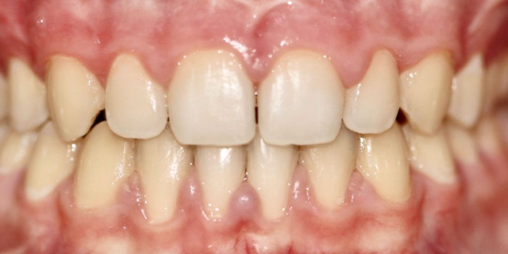
En el tratamiento de ortodoncia con brackets, estos se fijan a los dientes y se conectan con arcos metálicos. Cada mes, los arcos se cambian por otros más rígidos para guiar los dientes hacia su posición final. El tiempo de tratamiento varía según el paciente, ya que algunos necesitan más ajustes que otros.
El tratamiento con brackets autoligables suele durar entre 9 y 18 meses, dependiendo de las necesidades de cada paciente. Este sistema de ortodoncia convencional reduce el tiempo de tratamiento en comparación con otros métodos. Sin embargo, cada caso requiere una valoración personalizada para determinar la duración exacta.
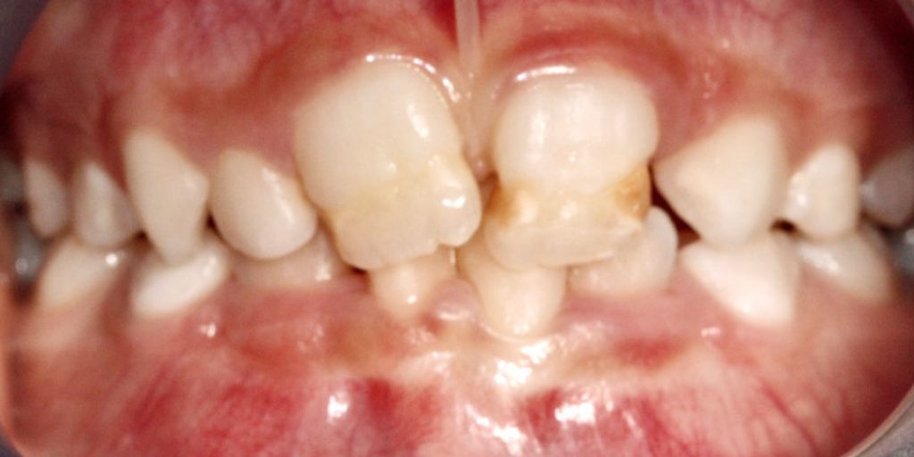
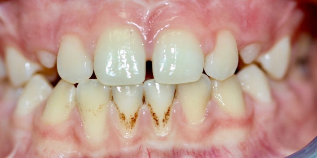
Cuando los dientes están torcidos, normalmente afectan negativamente a la estética y también pueden llegar a dañar las encías. Esto se debe a que al estar los dientes amontonados o en malas posiciones, no permiten realizar una higiene adecuada de los dientes y la placa bacteriana se mantiene adherida con mayor facilidad, por lo que se inflaman las encías, pudiendo llegar a la enfermedad llamada gingivitis.
También se producen mayor cantidad de caries dentales, por el mismo motivo anteriormente explicado. Otro problema frecuente de la malposición dentaría o apiñamiento, es la mordida inestable o incorrecta, en la que los dientes y muelas, no contactan de forma fisiológica, llegando a tener movilidad y desgastes no deseados.
Es la parte que los dientes superiores anteriores que cubren los dientes inferiores anteriores. Existen diferentes tamaños de mordida, los parámetros de salud y habituales equivalen a 2mm.
La sobremordida la podemos corregir con aparatos ortopédicos en edades tempranas o con ortodoncia fija o invisible en edades más avanzadas.También existen casos de sobremordida dental que necesitan de cirugía ortognática porque sólo con aparatología fija no se lograrían buenos resultados.
En la mordida cruzada, los dientes inferiores muerden por delante de los superiores.
Existe una mordida cruzada posterior (dientes de atrás), frecuente en personas que respiran con la boca abierta, marcando una discrepancia de tamaño entre el maxilar superior y la mandíbula. Por otro lado, la mordida cruzada anterior hace referencia al entrecruzamiento al revés de los dientes anteriores o delanteros. En este caso los dientes delanteros inferiores se superponen a los dientes delanteros superiores.
Cuando todos los dientes de abajo al morder se sitúan por delante de los superiores hablamos de una mordida cruzada tanto anterior como posterior. Estos casos suelen ser asociados a discrepancias no dentales sino esqueléticas que requieren de cirugía ortognática dado que tan solo con aparatología fija dental no se conseguirían resultados correctos.
La mordida abierta es cuando los dientes superiores anteriores no apoyan sobre los dientes inferiores y se queda un espacio entre los dientes.
Son varias las causas de la mordida abierta, las más habituales son: la interposición lingual o hábito lingual, en el que la lengua se mete entre los dientes al tragar, el uso prolongado del chupete o succión del dedo y el morder constantemente las uñas o los bolígrafos.
Para corregirla en ocasiones es suficiente con aparatología como brackets u ortodoncia invisible y en situaciones más pronunciadas será necesaria la intervención quirúrgica.
Clase II, mesioclusión: el colmillo superior se asienta por delante o encima del primer premolar inferior, creando así lo que llamamos resalte, causado por tener una mandíbula corta o pequeña o por tener un maxilar adelantado.
Clase III, distoclusión: el colmillo superior, se sitúa por detrás del primer premolar inferior, creando una mordida invertida o al revés en la que los dientes inferiores, pasan por delante de los dientes superiores. Es lo contrario a la clase II, bien porque la mandíbula ha crecido mucho y es más grande o porque el maxilar es muy corto.
En cualquiera de las maloclusiones: sobremordida, mordida cruzada, mordida abierta, Clase II o Clase III , existen tratamientos determinados para corregirlos, bien comenzando en edades tempranas , juveniles o adulta.
Cuando vas a tu dentista habitual cada año, él va a indicar si ve necesario un tratamiento de ortodoncia o no y cuando es conveniente comenzarlo.
En muchas ocasiones, el mismo paciente percibe que existe algo anómalo en su boca y si no es así, será su propio dentista el que le indique la necesidad de poner aparatología para llegar a una adecuada mordida u oclusión.
Cuando el dentista te hace la revisión y ve anomalías en tus dientes, propondrá realizar un “estudio de ortodoncia”, en el que se realizan : historia detallada genética, fotografías, radiografías (en las que se realizan medidas ) y modelos de estudio. Con todo ello se puede realizar un diagnóstico y plan de tratamiento adecuado a las características de cada paciente.
¡Pide tu presupuesto en nuestra clínica de ortodoncia en Vitoria para saber qué tipo de tratamiento necesitas!
A partir de los 7-8 años, ya se aprecia si existen anomalías en los dientes y es cuando debe comenzarse a tratar a los niños, sobre todo ante mordidas cruzadas y apiñamientos dentales severos.
El tratamiento en dichas edades se hace mediante aparatología fija o removible y es a lo que llamamos ortopedia dental.
Otro pico muy importante para comenzar el tratamiento de ortodoncia, es cuando los jóvenes están en crecimiento o edad prepuberal, 11-12 años.
Del mismo modo, el tratamiento de ortodoncia se puede realizar a cualquier edad, siendo los adultos con problemas de apiñamiento o periodontal, los más tratados, a parte de por la estética.

más información
En el tratamiento de ortodoncia con brackets, estos se fijan a los dientes y se conectan con arcos metálicos. Cada mes, los arcos se cambian por otros más rígidos para guiar los dientes hacia su posición final. El tiempo de tratamiento varía según el paciente, ya que algunos necesitan más ajustes que otros.
El tratamiento con brackets autoligables suele durar entre 9 y 18 meses, dependiendo de las necesidades de cada paciente. Este sistema de ortodoncia convencional reduce el tiempo de tratamiento en comparación con otros métodos. Sin embargo, cada caso requiere una valoración personalizada para determinar la duración exacta.
Cuando los dientes están torcidos, normalmente afectan negativamente a la estética y también pueden llegar a dañar las encías. Esto se debe a que al estar los dientes amontonados o en malas posiciones, no permiten realizar una higiene adecuada de los dientes y la placa bacteriana se mantiene adherida con mayor facilidad, por lo que se inflaman las encías, pudiendo llegar a la enfermedad llamada gingivitis.
También se producen mayor cantidad de caries dentales, por el mismo motivo anteriormente explicado. Otro problema frecuente de la malposición dentaría o apiñamiento, es la mordida inestable o incorrecta, en la que los dientes y muelas, no contactan de forma fisiológica, llegando a tener movilidad y desgastes no deseados.
Es la parte que los dientes superiores anteriores que cubren los dientes inferiores anteriores. Existen diferentes tamaños de mordida, los parámetros de salud y habituales equivalen a 2mm.
La sobremordida la podemos corregir con aparatos ortopédicos en edades tempranas o con ortodoncia fija o invisible en edades más avanzadas.También existen casos de sobremordida dental que necesitan de cirugía ortognática porque sólo con aparatología fija no se lograrían buenos resultados.
En la mordida cruzada, los dientes inferiores muerden por delante de los superiores.
Existe una mordida cruzada posterior (dientes de atrás), frecuente en personas que respiran con la boca abierta, marcando una discrepancia de tamaño entre el maxilar superior y la mandíbula. Por otro lado, la mordida cruzada anterior hace referencia al entrecruzamiento al revés de los dientes anteriores o delanteros. En este caso los dientes delanteros inferiores se superponen a los dientes delanteros superiores.
Cuando todos los dientes de abajo al morder se sitúan por delante de los superiores hablamos de una mordida cruzada tanto anterior como posterior. Estos casos suelen ser asociados a discrepancias no dentales sino esqueléticas que requieren de cirugía ortognática dado que tan solo con aparatología fija dental no se conseguirían resultados correctos.
La mordida abierta es cuando los dientes superiores anteriores no apoyan sobre los dientes inferiores y se queda un espacio entre los dientes.
Son varias las causas de la mordida abierta, las más habituales son: la interposición lingual o hábito lingual, en el que la lengua se mete entre los dientes al tragar, el uso prolongado del chupete o succión del dedo y el morder constantemente las uñas o los bolígrafos.
Para corregirla en ocasiones es suficiente con aparatología como brackets u ortodoncia invisible y en situaciones más pronunciadas será necesaria la intervención quirúrgica.
Clase II, mesioclusión: el colmillo superior se asienta por delante o encima del primer premolar inferior, creando así lo que llamamos resalte, causado por tener una mandíbula corta o pequeña o por tener un maxilar adelantado.
Clase III, distoclusión: el colmillo superior, se sitúa por detrás del primer premolar inferior, creando una mordida invertida o al revés en la que los dientes inferiores, pasan por delante de los dientes superiores. Es lo contrario a la clase II, bien porque la mandíbula ha crecido mucho y es más grande o porque el maxilar es muy corto.
En cualquiera de las maloclusiones: sobremordida, mordida cruzada, mordida abierta, Clase II o Clase III , existen tratamientos determinados para corregirlos, bien comenzando en edades tempranas , juveniles o adulta.
Cuando vas a tu dentista habitual cada año, él va a indicar si ve necesario un tratamiento de ortodoncia o no y cuando es conveniente comenzarlo.
En muchas ocasiones, el mismo paciente percibe que existe algo anómalo en su boca y si no es así, será su propio dentista el que le indique la necesidad de poner aparatología para llegar a una adecuada mordida u oclusión.
Cuando el dentista te hace la revisión y ve anomalías en tus dientes, propondrá realizar un “estudio de ortodoncia”, en el que se realizan : historia detallada genética, fotografías, radiografías (en las que se realizan medidas ) y modelos de estudio. Con todo ello se puede realizar un diagnóstico y plan de tratamiento adecuado a las características de cada paciente.
¡Pide tu presupuesto en nuestra clínica de ortodoncia en Vitoria para saber qué tipo de tratamiento necesitas!
A partir de los 7-8 años, ya se aprecia si existen anomalías en los dientes y es cuando debe comenzarse a tratar a los niños, sobre todo ante mordidas cruzadas y apiñamientos dentales severos.
El tratamiento en dichas edades se hace mediante aparatología fija o removible y es a lo que llamamos ortopedia dental.
Otro pico muy importante para comenzar el tratamiento de ortodoncia, es cuando los jóvenes están en crecimiento o edad prepuberal, 11-12 años.
Del mismo modo, el tratamiento de ortodoncia se puede realizar a cualquier edad, siendo los adultos con problemas de apiñamiento o periodontal, los más tratados, a parte de por la estética.






COMENTARIOS DE CLIENTES
Lucia OtegaTrustindex verifica que la fuente original de la reseña sea Google. Encantada por el trato recibido muy amables y trabajadoras Miren ElizaTrustindex verifica que la fuente original de la reseña sea Google. Te.ngo 82 años y me han dejado en 60. Esa es mi fisonomía actual.. Maria Esther Bahón AlonsoTrustindex verifica que la fuente original de la reseña sea Google. Chicas fantásticas y super agradables,para repetir Antonio MedinaTrustindex verifica que la fuente original de la reseña sea Google. Muy buena experiencia. El trato del personal fue cercano y profesional desde el primer momento. Me explicaron todo con claridad y el tratamiento fue rápido y sin molestias. Se nota que les importa el bienestar del paciente. Sin duda volveré y la recomendaré Rafael Barahona AbalosTrustindex verifica que la fuente original de la reseña sea Google. He ido por primera vez a la clínica,para ponerme implantes y es un acierto seguro.Gracias a todo el equipo I SMTrustindex verifica que la fuente original de la reseña sea Google. Me hice dos injertos de encía con mucosa de paladar por dos retracciones que tenía desde hace tiempo y la verdad que estoy muy contenta con los resultados. Iba con miedo, conocía a gente que habia tenido malas experiencias, tanto de infecciones como de dolor posterior. Me ha sorprendido lo bien que ha quedado y lo indoloro que ha sido, sin ninguna complicación. La verdad que estoy muy contenta con el resultado y todo el seguimiento. Lo recomiendo 100% si tienes la necesidad. esperanza herranTrustindex verifica que la fuente original de la reseña sea Google. Un trato excelente,la chica higienista estupenda,super amable y simpatica Hana SerranoTrustindex verifica que la fuente original de la reseña sea Google. Es la primera vez que he ido a la clínica y todas las trabajadoras me han tratado super bien! Maialen Berganzo AlonsoTrustindex verifica que la fuente original de la reseña sea Google. Las mejore clínica dental sin duda! Kerly CastellanosTrustindex verifica que la fuente original de la reseña sea Google. La atención muy agradable, 10 de 10La evaluación general en Google es 4.9 de 5, en base a 172 reseñas
Usamos cookies para mejorar su experiencia de navegación, mostrarle anuncios o contenidos personalizados y analizar nuestro tráfico. Al hacer clic en “Aceptar todo” usted da su consentimiento a nuestro uso de las cookies.