La estética dental en Vitoria ha experimentado un auge considerable en los últimos años. La gente se ha vuelto cada vez más consciente de la importancia de una sonrisa saludable y atractiva, no solo por razones de salud bucodental, sino también por el impacto que tiene en la autoestima y la confianza personal que aporta. Hoy en día, Clínica Dental Mozas, destaca en la ciudad como un referente en tratamientos dentales personalizados y estética dental avanzada, con soluciones innovadoras como carillas dentales, blanqueamiento, y mucho más. Gracias a los avances en el área de la odontología estética, ahora es posible transformar una sonrisa con precisión y en poco tiempo. A continuación, exploramos algunas de las soluciones más demandadas en Vitoria para mejorar la estética dental:
Carillas dentales: Composite vs. Cerámica
Las carillas dentales son uno de los tratamientos más solicitados en los últimos años debido a su capacidad para corregir imperfecciones como pueden ser dientes desgastados, manchados, desalineados o rotos. Existen dos tipos de carillas principales: carillas de composite y carillas de cerámica. 
- Carillas de composite: Estas carillas están hechas de un material plástico compuesto que se coloca directamente sobre el diente. Son una opción más económica que las carillas de cerámica y pueden ofrecer resultados satisfactorios cuando se requiere una corrección menor de la estética dental. El principal beneficio de las carillas de composite es que pueden colocarse en una sola sesión, lo que las convierte en una opción conveniente para quienes buscan una solución rápida. Sin embargo, su durabilidad y resistencia pueden ser menores en comparación con las carillas de cerámica.
- Carillas de cerámica: Las carillas de cerámica, por otro lado, son más duraderas y resistentes. Están fabricadas a medida, lo que significa que se diseñan para ajustarse perfectamente a la forma y el color de cada diente y para cada paciente. Estas carillas tienen una apariencia más natural debido a su translucidez, que imita el esmalte dental. Son la opción preferida para quienes buscan una solución a largo plazo para mejorar la estética de su boca. Aunque requieren varias visitas a la clínica dental, su durabilidad y resistencia las convierten en una inversión a largo plazo.
En Clínica Dental Mozas, nuestros dentistas especializados te ayudarán a elegir la mejor opción de carillas dentales teniendo en cuenta tus necesidades estéticas y funcionales. La Dra. Alicia Zabalegui, nuestra prostodoncista y especialista en estética dental, te brindará su consejo experto para asegurarse de que consigas los resultados que deseas.
Blanqueamiento dental
Este es otro tratamiento estético altamente solicitado, ya que la apariencia de dientes más blancos y brillantes puede mejorar significativamente la sonrisa de una persona. Existen dos tipos principales de blanqueamiento dental: Blanqueamiento en clínica y blanqueamiento en casa.
- Blanqueamiento dental en clínica: Este tratamiento se realiza en la clínica dental bajo la supervisión de un dentista especializado. Se utiliza un gel blanqueador de alta concentración que se activa con una luz especial para eliminar manchas profundas y así poder blanquear los dientes en una sola sesión. Los resultados son rápidos y más duraderos que los tratamientos caseros, y es ideal para personas con manchas dentales persistentes o dientes que han perdido su blancura debido al envejecimiento o al consumo de alimentos con colorantes y bebidas como café, té o vino tinto.

- Blanqueamiento dental en casa: Este tratamiento se realiza con productos específicos que se entregan a los pacientes para su uso en casa. Los geles de blanqueamiento son de menor concentración que los utilizados en la clínica, por lo que los resultados tardan más en aparecer. Sin embargo, es una opción más conveniente y menos invasiva. Es ideal para quienes desean un tratamiento gradual o para mantener los resultados obtenidos tras un blanqueamiento en la clínica.
En nuestra Clínica Dental en Vitoria, ofrecemos tanto blanqueamiento dental en nuestra clínica como opciones de blanqueamiento dental para poder realizar en casa, siempre bajo la supervisión de nuestros dentistas para garantizar seguridad y resultados efectivos.
Obturaciones estéticas: Funcionalidad y estética al mismo tiempo
Las obturaciones estéticas son una alternativa a los empastes tradicionales de amalgama. Estas obturaciones están hechas de materiales compuestos que imitan el color natural de los dientes, ofreciendo un acabado más estético y discreto que las antiguas amalgamas. Son especialmente útiles para tratar caries en dientes visibles, como los incisivos o premolares, ya que permiten restaurar el diente sin afectar su aspecto.
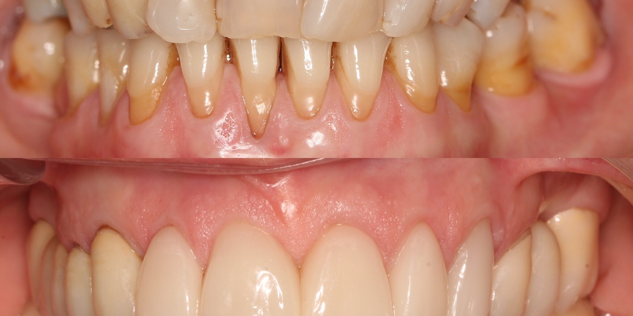
Cierre de troneras: Solución a los espacios entre dientes
El cierre de troneras se refiere a la corrección de los pequeños espacios que pueden formarse entre los dientes, especialmente en la parte anterior de la boca, es decir, en los dientes más visibles. Estos espacios pueden deberse a factores como la erupción dental, la pérdida de dientes o el desgaste de los mismos. El tratamiento consiste en la colocación de una pequeña cantidad de material dental, como pueden ser las resinas compuestas, para rellenar el espacio y mejorar así tanto la estética.
Planificación y resultados previsualizados con DSD y Mock-up
Uno de los avances más importantes en la estética dental es la capacidad de previsualizar el resultado final antes de comenzar el tratamiento. Con DSD (Digital Smile Design), una herramienta innovadora que utiliza tecnología digital, podemos diseñar tu sonrisa de manera personalizada y mostrarte cómo quedará el resultado final incluso antes de que se realicen los tratamientos.
Lo mencionado anteriormente combinado con un Mock-up en boca, te permitirá visualizar y aprobar los cambios que deseas antes de cualquier intervención. La planificación digital y el uso del Mock-up te dan la seguridad de que el tratamiento se ajustará exactamente a tus expectativas, asegurando una sonrisa perfecta y natural. En Clínica Dental Mozas, la Dra. Alicia Zabalegui se especializa en estética dental y te guiará a lo largo de todo el proceso, desde la evaluación inicial hasta el resultado final.
Conclusión: Sonrisa perfecta a tu medida
La estética dental en Vitoria está en auge porque más personas buscan soluciones personalizadas que les permitan tener una sonrisa saludable y atractiva. Ya sea mediante carillas dentales, blanqueamiento dental, obturaciones estéticas o el cierre de troneras. Los avances en odontología estética ofrecen soluciones innovadoras y de calidad para todas las necesidades. En Clínica Dental Mozas, nuestro equipo de dentistas especializados y la experiencia de la Dra. Alicia Zabalegui te ayudarán a lograr la sonrisa que siempre has deseado, con un enfoque personalizado y resultados previsualizados para garantizar tu satisfacción total.








