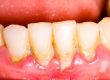
Las caries dentales son una de las afecciones mas comunes que afectan la salud bucal de las personas. Se producen cuando los ácidos generados por las bacterias en la boca descomponen el esmalte dental, lo que puede llevar a la formación de cavidades en los dientes. Si no se tratan a tiempo, las caries pueden causar dolor intenso y la necesidad de procedimientos mas invasivos como la endodoncia. En la Clínica Dental Mozas, ofrecemos información y consejos clave para prevenir las caries y mantener tu boca sana.
¿COMO SE PRODUCEN LAS CARIES?
El proceso biológico detrás de las caries es complejo y comienza con la formación de placa dental, una capa pegajosa de bacterias que se acumula en los dientes. Cuando consumes alimentos ricos en azucares y carbohidratos, las bacterias en la placa convierten estos azucares en ácidos. Estos ácidos atacan el esmalte dental, la capa externa y protectora de los dientes. Si no se elimina esta placa mediante una correcta higiene, el esmalte se desgasta, creando pequeñas cavidades que se convierten en caries.
Si una caries no se trata a tiempo, puede llegar a afectar las capas mas profundas del diente, llegando a la pulpa, que es la parte que contiene nervios y vasos sanguíneos. Esto puede generar dolor, infecciones y la necesidad de procedimientos como una endodoncia.

¿POR QUE ES IMPORTANTE TRATAR LAS CARIES A TIEMPO?
El tratamiento temprano de las caries es crucial para evitar complicaciones. Cuando las caries son pequeñas y no han afectado la pulpa del diente, se pueden solucionar fácilmente con una obturación o empaste. Sin embargo, si esperas a que el dolor aparezca, es probable que la caries haya llegado mas lejos, lo que podría requerir un tratamiento mas invasivo, como la endodoncia o tratamiento de conductos.
El tratamiento de conductos es necesario cuando la caries ha alcanzado la pulpa dental y ha provocado una infección. Este tratamiento es mas costoso y requiere mas tiempo, por lo que la prevención y el diagnostico temprano son fundamentales.
PREVENCION DE LAS CARIES: CONSEJOS CLAVE
- Visitas periódicas al dentista: Una de las maneras mas efectivas de prevenir las caries es realizar revisiones dentales anuales o semestrales con tu dentista. Durante estas visitas, los dentistas realizan una exploración clínica exhaustiva y, si es necesario, radiografías diagnosticas para detectar caries en sus primeras fases, antes de que causen dolor o complicaciones.
- Cepillado dental adecuado: El cepillado dental es fundamental para prevenir la formación de placa bacteriana. La principal causante de las caries. Es recomendable cepillarse los dientes al menos dos veces al día con una pasta dental con flúor, que ayuda a remineralizar el esmalte dental y a prevenir la desmineralización. Es importante también usar un cepillo de dientes adecuado, con cerdas suaves y un tamaño adecuado para llegar a todas las superficies de los dientes. Además, el cepillado debe durar al menos dos minutos, y es esencial no olvidar las zonas difíciles de alcanzar, como los molares y las encías.
- Uso de hilo dental o cepillos interdentales: El uso del hilo dental o los cepillos interdentales es clave para eliminar los restos de comida y la placa entre los dientes, donde el cepillo no llega. Esta zona es especialmente vulnerable a la acumulación de placa y al desarrollo de caries. Es recomendable usar hilo dental al menos una vez al día.
- Dieta equilibrada: Una dieta baja en azucares y carbohidratos es esencial para mantener una buena salud dental. Los alimentos azucarados y ácidos alimentan a las bacterias en la boca, lo que favorece la producción de ácidos que dañan el esmalte dental. Optar por una dieta rica en frutas, verduras, proteínas y lácteos ayuda a mantener los dientes fuertes y saludables.
- Uso de selladores dentales: En algunos casos, especialmente en niños o personas propensas a desarrollar caries, los selladores dentales pueden ser una opción eficaz para prevenir las caries. los selladores son una capa protectora que se aplica sobre los dientes posteriores, ayudando a prevenir la acumulación de placa y bacterias.
CONCLUSION
La prevención de caries es clave. Las caries son una afección prevenible, y la clase para mantener una boca sana es la prevención. Clínica Dental Mozas, como tu clínica dental de confianza en Vitoria-Gasteiz, te recomienda realizar visitas periódicas al dentista para mantener una buena salud bucal. En estas consultas, los dentistas podrán detectar caries en sus primeras etapas, lo que te permitirá solucionarlas con un simple empaste y evitar tratamientos mas invasivos, como la endodoncia.
Recuerda, que una higiene dental adecuada, el uso del hilo dental y una dieta equilibrada son esenciales para prevenir la formación de caries.
SI tienes dudas o necesitas mas información m no dudes en contactarnos en el 945277508 o en www.clinicadentalmozas.com
¡Estamos aquí para ayudarte a mantener tu sonrisa sana y brillante!








