[vc_row][vc_column][vc_column_text]
Hoy vamos a enseñaros las diferentes pruebas que se realizan en la radiología dental.
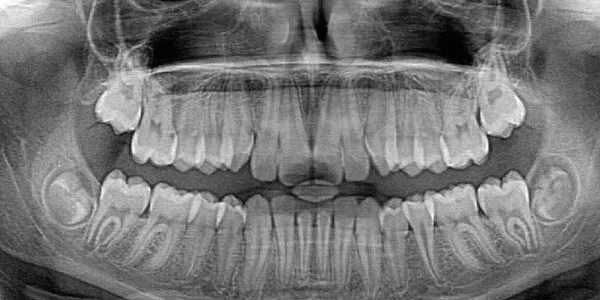
Ortopantomografia
-
La Ortopantomografía o también llamada radiografía Panorámica, es un tipo de radiografía extra-oral en la que aparecen Maxilar, Mandíbula , dientes y Articulación Temporo- Mandibular.
-
Es una radiografía en dos dimensiones en la que se aprecian los dientes, sus tejidos de soporte y estructuras anatómicas adyacentes.
- La Ortopantomografía, sirve para realizar diagnósticos de patologías dentales, tales como Agenesias, Quistes radiculares, Periimplantitis, Periodontítis, Caries…. y Estudios Ortodónticos.
-
El aparato para realizar la Ortopantomografía, gira a través de la cabeza emitiendo una radiación y es así como capta la imagen de toda la boca y mandíbula.
- Es un elemento esencial para el diagnostico del dentista , sobre todo en una primera visita, puest que así se tiene un conocimiento en conjunto de toda la boca.
-
En las RX Panorámicas, es necesario, a parte de quitarse todos los objetos metálicos que se tenga en la cara, colocar un Delantal de Plomo al paciente, para preservarle de la radiación.
Periapical
Las periapicales son un tipo de radiografía intraoral que se lleva a cabo en el gabinete dental con el fin de diagnosticar cualquier tipo de afección de una pieza dental. Lo característico de la radiografía periapical es que sale la totalidad del diente, desde la corona hasta la punta de la raíz.
Para llevar a cabo una radiografía periapical, se coloca al paciente en el sillón dental y se le protege la zona del cuello con un protector tiroideo revestido de plomo. Seguidamente, se toma una placa radiográfica de dimensiones reducidas, adaptadas a la cavidad oral y se montan en unos posicionadores diseñados especialmente para el uso en cada pieza dental. Estos posicionadores son diferentes dependiendo de la posición en la que se encuentre la pieza o piezas seleccionadas para radiar. Para terminar,
se acerca el colimador, o tubo del aparato de rayos con el que cada gabinete dental está provisto y se selecciona en el panel de control el diente. Una vez todo está dispuesto, el personal clínico abandona la habitación quedando únicamente expuesto, a la pequeña radiación, el paciente. Después, con un interruptor, se obtura y se lleva a cabo la exposición y grabación en la película radiográfica. Como último paso, se revela de manera digital o manual, dependiendo del tipo de película escogida y se obtiene una imagen clara de la pieza seleccionada.
Aleta de mordida
-
Es una radiografía intraoral pequeña que nos sirve para ver varios dientes de la arcada superior e inferior.
-
Se realiza a través de un tubo extra oral, que emite la radiación y una placa en la boca.
-
Teleradiografía
Es una radiografía externa lateral del cráneo, que se realiza a mayor distancia de lo normal.
En la teleradiografía o radiografía lateral de cráneo, se puede observar todos los tejidos blandos y huesos de la cabeza.
La teleradiografía se utiliza para estudiar patologías del cráneo y cabeza y sobre todo para realizar estudios cefalométricos , para los estudios de ortodoncia, a la hora de decidir qué tratamiento realizar.
Para realizará la teleradiografía es importante dotar de un delantal de plomo al paciente, para aislar al cuerpo de la radiación.
Chaleco de plomo
El chaleco de plomo o delantal de plomo, es un delantal que se coloca para evitar la radiación en las partes del cuerpo que no vamos a radiar.
Escaner digital en 3D o Tac
Se trata de un tipo de radiografía que nos reproduce imágenes en tres D, en una sola exploración , viéndose los tejidos blandos , huesos y nervios.
Estos aparatos emiten mucha menos radiación , que cualquier otro y nos permite ver cortes transversales y longitudinales de la mandíbula y maxilar.
El escaner digital en 3D, se utiliza para diagnóstico de patologías y últimamente se ha puesto de moda para realizar el estudio de colocación de implantes, viendo el grosor en anchura y altura
del hueso y las estructuras anatómicas como el nervio.
Esperamos que os haya gustado nuestro artículo sobre radiología dental. Esperamos vuestros comentarios.
[/vc_column_text][/vc_column][/vc_row]








