BLANQUEAMIENTO DENTAL EN VITORIA

[vc_row][vc_column][vc_column_text]¿Te estas preguntando si hacerte un blanqueamiento en Vitoria Gasteiz? ¿No sabes a qué clínica dental acudir en Vitoria Gasteiz? ¿Tienes dudas sobre el blanqueamiento dental y no sabes a qué dentista preguntar? Si tienes cualquiera de estas dudas, desde Clínica Dental Mozas vamos a intentar solucionarlas. Primero de todo, nos gustaría presentarnos, ya en que…

invisalign vitoria clínica dental mozas

ORTODONCIA INVISIBLE EN VITORIA

[vc_row][vc_column][vc_column_text] Actualmente podemos corregir las malocusiones y apiñamientos dentales mediante la ténica de ortodoncia invisible que nos permite enderezar los dientes y solucionar mal posiciones dentarias con férulas transparentes.   Los alineadores, necesitan de unos ataches o módulos pequeños que se pegan a los dientes , son blancos(no se notan), para producir el movimiento dental deseado, bien…

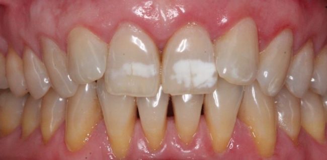
Blanqueamiento dental: todo lo que debes saber de este tratamiento

El blanqueamiento dental es un tratamiento odontológico estético cada vez mas solicitado, ya que permite eliminar las manchas externas de los dientes y devolverles una tonalidad mas blanca y brillante. En la Clínica Dental Mozas en Vitoria-Gasteiz, contamos con dentistas especializados en estética dental que ofrecen soluciones personalizadas para conseguir la sonrisa que siempre has…

Alargamiento de corona estético: ¿qué es? ¿cuándo está indicado?

[vc_row][vc_column][vc_column_text] Alargamiento de corona estético El alargamiento de corona estético es una cirugía que se realiza normalmente en los dientes superiores del frente anterior cuando se ven cortos por exceso de encía.   ¿A qué se debe? Con el desarrollo y el crecimiento, los dientes inicialmente van acompañados de encía y hueso. Para finalizar este…