¿Por qué cambia el color de los dientes? Lo que tu sonrisa dice de ti
La sonrisa es una de las primeras cosas en que nos fijamos al conocer a alguien. Más allá de transmitir…
INFORMACIÓN SOBRE TRATAMIENTOS DENTALES, CURIOSIDADES, CONSEJOS Y MUCHO MÁS
La sonrisa es una de las primeras cosas en que nos fijamos al conocer a alguien. Más allá de transmitir…
El sangrado de encías al cepillarse es uno de los motivos de consulta más frecuentes en nuestra clínica dental en…
El blanqueamiento dental es uno de los tratamientos estéticos más solicitados en nuestra clínica. Sin embargo, muchos pacientes no saben…
La pérdida de un diente es un problema dental muy frecuente. En muchos casos, al principio puede parecer que no…
Una de las preguntas más frecuentes que escuchamos en Clínica Dental Mozas en Vitoria es: ¿cuándo debo llevar a mi…
¿Sabías que el estado de tus encías puede revelar mucho más que problemas bucales? La salud bucodental va más allá…
El miedo al dentista es una de las preocupaciones más frecuentes entre padres y madres cuando llega el momento de…
Iniciar un tratamiento de ortodoncia en Vitoria es una excelente decisión para mejorar tu salud bucal y conseguir una sonrisa…
¿Sabías que tus hormonas pueden influir directamente en la salud de tus encías? Muchas personas desconocen que etapas como la…
La enfermedad periodontal va mucho más allá de un problema bucal localizado. Numerosos estudios científicos han demostrado que existe una…
En Clínica Dental Mozas creemos que la salud bucodental infantil debe abordarse de forma integral, temprana y personalizada.Por eso, contamos…
En Clínica Dental Mozas, tu clínica de confianza en Vitoria-Gasteiz, te explicamos por qué ocurre, cómo saber si necesitas reemplazarlas…
El deseo de lucir una sonrisa más blanca ha llevado a muchas personas a buscar métodos de blanqueamiento dental naturales…
Elegir el cepillo de dientes correcto marca la diferencia en tu salud bucal. Seguramente te ha pasado: llegas a la…
La menopausia es una etapa natural en la vida de toda mujer que trae consigo importantes cambios hormonales. Estos cambios…
La periodoncia en Vitoria es una especialidad dental fundamental para mantener la salud de tus encías. En la Clínica Dental…
En Clínica Dental Mozas, con la experiencia de la doctora Carmen Mozas, directora de la clínica y un equipo especializado…
El blanqueamiento dental profesional es uno de los tratamientos de estética más solicitados en la actualidad. Y no es para…
El estrés es una respuesta natural del cuerpo ante situaciones que nos generan tensión, ya sea emocional o física. Sin…
¿Te preguntas cuál es el mejor tipo de ortodoncia para tu caso? En Clínica Dental Mozas, especialistas en ortodoncia en…
¿Te imaginas volver a sonreír sin pensar en ese diente que falta? Perder una pieza dental no solo afecta a…
La periodoncia es una rama de la odontología, con la cual prevenimos, diagnosticamos y tratamos las enfermedades que pueden aparecer…
Las tecnología innovadoras que conocemos, están transformando la experiencia tanto del paciente como del equipo de las clínicas dentales. Por…
¿Despiertas con dolor de mandíbula o dolores de cabeza? Descubre todo sobre el bruxismo y cómo tratarlo efectivamente en nuestra…
¿Buscas el mejor dentista infantil en Vitoria para tu hijo? Descubre todo lo que necesitas saber sobre odontopediatría y cuidado…
¿Buscas el mejor tratamiento de ortodoncia en Vitoria? Descubre todas las opciones disponibles y encuentra la solución perfecta para tu…
¿Estás considerando realizarte un Implante dental en Vitoria? Esta guía te proporcionará toda la información necesaria para tomar una decisión…
Los piercings en la boca se han convertido en una tendencia popular entre los jóvenes y adultos que buscan añadir…
En Clínica Dental Mozas, situada en el centro de Vitoria, nos especializamos en ofrecer tratamientos dentales avanzados y personalizados. Uno…
Mantener una sonrisa saludable y estética es clave no solo por tu salud bucal, sino también para tu bienestar general.…
Una sonrisa saludable no solo es esencial para nuestra imagen, sino también para nuestra salud general. En la Clínica dental…
La estética dental en Vitoria ha experimentado un auge considerable en los últimos años. La gente se ha vuelto cada…
La muela del juicio, también conocida como tercer molar, son los últimos dientes que aparecen en la parte posterior de…
La salud de las encías es fundamental para mantener una boca sana, y las enfermedades periodontales, como la gingivitis y…
Las caries dentales son una de las afecciones mas comunes que afectan la salud bucal de las personas. Se producen…
El dolor de muelas es una de las molestias mas comunes que pueden surgir de forma inesperada, interrumpiendo nuestras actividades…
Si estas buscando tratamientos de ortodoncia, la Clínica dental mozas, te ofrece una amplia variedad de opciones para corregir los…
[vc_row][vc_column][vc_column_text css=»»]¿Por que es esencial al menos una limpieza dental profesional al año? Realizar una limpieza dental profesional al menos…
Los implantes dentales en Vitoria se han convertido en una las opciones mas populares para restaurar dientes perdidos o dañados.…
La salud dental de nuestros hijos es fundamental para su bienestar general, y comenzar con las visitas al dentista infantil…
[vc_row][vc_column][vc_column_text css=»»] LA HALITOSIS La halitosis es lo que conocemos coloquialmente como mal aliento (olor desagradable en el aire exhalado).…
Cuidar la salud dental es fundamental para mantener una sonrisa saludable y evitar problemas dentales a largo plazo. Tanto los…
El blanqueamiento dental es uno de los tratamientos estéticos mas demandados para mejorar la sonrisa y recuperar la confianza en…
La salud bucal es un aspecto fundamental para nuestro bienestar general, y muchas veces no somos consientes de la importancia…
¿Qué es la exploración periodontal? La exploración periodontal consiste en ver el estado de las encías del paciente observando su…
[vc_row][vc_column][vc_column_text css=»»]Desde el equipo de la Clínica Dental Mozas, tu clínica de referencia, queremos informarte sobre la amigdalitis. ¿Qué es…
¿Sabías que el herpes labial o lo que se conoce también como herpes febril, se trata de una infección vírica…
[vc_row][vc_column][vc_column_text] Consejos para después de un empaste Cuando se realiza un empaste u obturación en principio no hay que tener…
[vc_row][vc_column][vc_column_text] El cepillado dental es un hábito indispensable para prevenir las dos patologías más frecuentes bucodentales: la caries y la…
Para un niño con una lesión de caries en un diente permanente hay que elegir la estrategia de manejo de…
[vc_row][vc_column][vc_column_text] Asesorando al paciente y a la familia La prevención y el tratamiento exitoso de la caries depende de una…
[vc_row][vc_column][vc_column_text] El paciente infantil presenta características y necesidades distintivas debido a: Un riesgo de caries potencialmente alto Una inmadurez del…
[vc_row][vc_column][vc_column_text] ¿Para qué sirve la lengua? La lengua es un órgano fundamentalmente muscular muy vascularizado que tiene tres funciones principales:…
[vc_row][vc_column][vc_column_text] El dolor de dientes con origen en el diente El dolor dental es un amplio término que describe las…
[vc_row][vc_column][vc_column_text] La anestesia de los dentistas La mayoría de los tratamientos dentales requieren anestesia para la comodidad del paciente. La…
[vc_row][vc_column][vc_column_text] ¿Cuáles son los problemas bucodentales en el adulto senior y cómo prevenirlos? Son muchos los factores que influyen en…
[vc_row][vc_column][vc_column_text] Candidiasis oral = hongos en la boca Ciertos microorganismos viven normalmente en nuestros cuerpos. Estos incluyen bacterias y hongos.…
[vc_row][vc_column][vc_column_text] La saliva es un líquido transparente formado mayoritariamente por agua, y, en un 1%, por otros componentes orgánicos e…
[vc_row][vc_column][vc_column_text] ¿Qué es una férula dental de descarga? La férula de descarga para el bruxismo evita el apretamiento y rechinamiento…
[vc_row][vc_column][vc_column_text] CONSEJOS DESPUÉS DE UN EMPASTE: Realizar un empaste dental se ha convertido en una práctica muy habitual en…
[vc_row][/vc_row][vc_column][/vc_column][vc_column_text]Todavía hay personas, especialmente los niños, que temen el momento de acudir al dentista, y eso lleva a aplazar los…
En el día a día de la clínica es muy habitual que los pacientes me pregunten si hay que cepillarse…
[vc_row][vc_column][vc_column_text] ¿Cuáles son los síntomas de las muelas del juicio? Las muelas del juicio pueden llegar a ser…
[vc_row][vc_column][vc_column_text] Analizando la ortodoncia invisible Ventajas Estos son algunas de las ventajas que ofrece la ortodoncia invisible: Invisible No duele…
En este artículo respondemos a las preguntas más frecuentes que nos hacen nuestros pacientes acerca del blanqueamiento dental. ¿Quieres saber…
La limpieza dental es el tratamiento que técnicamente se denomina como higiene dental. Durante este tratamiento se pretende eliminar…
[vc_row][vc_column][vc_column_text] En el artículo de hoy, te decimos todo lo que necesitas saber acerca de uno de los órganos más…
[vc_row][vc_column][vc_column_text] ¿Alguna vez te has preguntado cuántos dientes tiene un adulto? Una persona con boca sana podría llegar a tener…
[vc_row][vc_column][vc_column_text] Los dientes pueden desgastarse por muchos motivos: El de la edad y desgaste por uso de los dientes en…
Probablemente, una pregunta que no nos hemos hecho nunca es a qué edad salen los dientes, pero cuando tenemos un…
Sabemos que los dientes son muy importantes porque tienen función masticatoria y en definitiva, nos ayudan a comer, pero además…
La respuesta es sí. Los dientes de leche son muy importantes por las siguientes razones: Permiten morder y masticar la…
La caries de los bebés y los niños pequeños se llama caries de la primera infancia. Puede destruir los dientes…
¿Qué tengo que hacer si mi hijo se ha golpeado en un diente? Lo primero que se debe hacer y…
[vc_row][vc_column][vc_column_text]¿Crees que tienes los dientes amarillos? En este artículo, os despejamos dudas sobre este tema. Dientes amarillos: Causas Cuando nacemos…
[vc_row][vc_column][vc_column_text]Como en todas las profesiones, hay mucha información que a los pacientes les llega de una manera, luego estos, la…
¿Has mirado el color de tus encías? El color de tus encías determina tu salud bucodental. ¿Sabías que su aspecto…
Tenemos una serie de mitos sobre la ortodoncia. ¿Sabrías decirnos si son verdaderos o falsos?: Los alineadores de ortodoncia son…
[vc_row][vc_column][vc_column_text]Muchas son las dudas que circulan alrededor de las muelas del juicio o cordales. En este post os aclaramos muchas de…
[vc_row][vc_column][vc_column_text]Los dientes de leche son aquellos que salen los primeros en la boca de los niños con el fin ser…
Muchos nos pregustáis: ¿Qué son las caries?, ¿por qué salen? ¿cómo evitarlas? A continuación os aclaramos todas estas cuestiones y…
[vc_row][vc_column][vc_column_text] En general, no se sabe mucho acerca de la anatomía bucal. Más allá de los dientes, lengua, labios y…
[vc_row][vc_column][vc_column_text]Cuidar de nuestra salud oral es muy importante y a menudo se subestima. Una gran parte de ese cuidado pasa…
[vc_row][vc_column][vc_column_text]En general, a nivel de calle, no se sabe mucho sobre la periodontitis. Como ya hemos mencionado, la periodoncia es…
[vc_row][vc_column][vc_column_text]Ahora que llega el buen tiempo, nos animamos más a practicar algún tipo de deporte. Desde la Clínica Dental Mozas,…
Las revisiones al dentista sí son necesarias. Mínimo una vez al año, todos tendríamos que acudir todos al dentista. Ya…
[vc_row][vc_column][vc_column_text]Hay muchos pacientes que son portadores de prótesis dentales, ya sean removibles o fijas y el mantenimiento de prótesis es…
[vc_row][vc_column][vc_column_text] EMPASTE DENTAL Un empaste dental es coloquialmente el relleno de un agujero en un diente. Es decir, normalmente…
[vc_row][vc_column][vc_column_text] Férula de descarga Es un tipo de Férula de protesis que utilizamos en Odontología y Cirugía Maxilofacial, como tratamiento…
[vc_row][vc_column][vc_column_text] Ácido hialurónico En primer lugar , comenzaremos definiendo que es el ácido hialurónico. El ácido hialurónico es un tipo…
[vc_row][vc_column][vc_column_text] En la actualidad parece que hay un mayoritario rechazo por llevar metales en el interior de nuestro cuerpo. En…
[vc_row][vc_column][vc_column_text] Hoy vamos a enseñaros las diferentes pruebas que se realizan en la radiología dental. Ortopantomografia La Ortopantomografía o también…
[vc_row][vc_column][vc_column_text]La salud oral en la tercera edad, es una de las etapas de mayor importancia para el ser humano y…
[vc_row][vc_column][vc_column_text] Para aclarar si la ortodoncia es un capricho o una necesidad, hay que aclarar que la ortodoncia no es…
Corren muchos rumores acerca de los dientes deciduos y para desmentir algunos de esos mitos sobre los dientes de leche,…
[vc_row][vc_column][vc_column_text] En el artículo de hoy vamos a hablaros de la anatomía craneal de la boca. Veremos cada uno de…
En primer lugar hay definimos esta articulación temporomandibular como la articulación que conecta la mandíbula al resto del cráneo. En…
En primer lugar, comenzaremos describiendo que es el síndrome de la boca seca o Xerostomía. Este es un desorden complejo…
¿QUÉ HACER ANTE UN TRAUMATISMO DENTAL? Primeramente hay que dejar bien claro que todos los traumatismos dentales deben ser considerados…
La mayoría de las personas considera que la sonrisa es la característica más importante de la boca, pero es más…
En este artículo vamos a hablaros de las diferentes partes anatómicas del diente. Cúspide La cúspide es la parte…
¿ LA DIABETES AFECTA A MI BOCA? ¿Puede la diabetes afectar a mi boca? : En primer lugar debemos definir…
¿CÓMO ELEGIR A TU DENTISTA? La elección de un profesional sanitario no es tarea fácil. Influyen muchos factores a la…
¿QUE ES? En primer lugar, la higiene interdental ,como su propio nombre indica, se trata de la higiene que realizamos…
[vc_row][vc_column][vc_column_text] INCRUSTACIÓN RESTAURACIONES INDIRECTAS Las incrustaciones, son restauraciones indirectas, que tienen como objetivo reparar piezas en las que haya que…
[vc_row][vc_column][vc_column_text] Caries: La caries es la enfermedad infecciosa dental más extendida y frecuente entre todos los seres humanos. Se conoce…
El bruxismo es el término médico para lo que comúnmente conocemos como el rechinamiento dental. Puede deberse a varias causas:…
TIPOS DE ANESTESIA Anestesia local La anestesia local es la sustancia química administrada para provocar la pérdida temporal de la…
CLINICA ESTETICA DENTAL VITORIA En Clínica Dental Mozas, situada en Calle Postas 37 en Vitoria, vemos la cavidad oral como…
Las furcas, fisuras y hemisecciones, son topos de lesiones de los dientes y actuaciones sobre las muelas y dientes:…
¿Dónde hacerte una higiene bucodental en un dentista de Vitoria? La higiene bucodental es el tratamiento que se conoce como…
[vc_row][vc_column][vc_column_text]¿Te estas preguntando si hacerte un blanqueamiento en Vitoria Gasteiz? ¿No sabes a qué clínica dental acudir en Vitoria Gasteiz? ¿Tienes…
[vc_row][vc_column][vc_column_text]Los injertos óseos se realizan para aumentar el ancho y la altura del hueso maxilar en el sitio del implante. Hay varios…
[vc_row][vc_column][vc_column_text]Prevenir la gingivitis y la periodontitis Las enfermedades de las encías (gingivitis y periodontitis) se pueden prevenir cuidando la boca.…
[vc_row][vc_column][vc_column_text] Actualmente podemos corregir las malocusiones y apiñamientos dentales mediante la ténica de ortodoncia invisible que nos permite enderezar los dientes y…
[vc_row][vc_column][vc_column_text]Las causas más comunes de fallo del implante son la mala higiene bucal, antecedentes de periodontitis y tabaquismo. Si la…
[vc_row][vc_column][vc_column_text] 1: Examen Después de discutir las opciones de tratamiento que son adecuadas para usted, su dentista llevará a cabo…
Sangrado de las encías o color rojizo Tus encías siempre deben presentar un color rosado. Si tus encías empiezan a…
[vc_row][vc_column][vc_column_text] Son muchos los estudios que han demostrado la importancia del mantenimiento periodontal en pacientes con una mayor susceptibilidad con…
Clínica Dental Vitoria Si estás buscando una clínica dental en Vitoria has dado con tu clínica de…
[vc_row][vc_column][vc_column_text] Clínica Dental Mozas es una clínica pionera en tratamientos de ortodoncia invisible en Vitoria ya que se realizan desde…
[vc_row][vc_column][vc_column_text] ¿Qué es una caries dental? Es una enfermedad infecciosa multifactorial que sufre el 90% de la población mundial. La…
ENCIA QUERATINIZADA. Para proceder a definir qué es la encía queratinizada, primero nos dispondremos a explicar cada una…
¿Qué son las manchas blancas? Las manchas blancas en los dientes, muy frecuentes en los incisivos (palas) es conocido técnicamente…
[vc_row][vc_column][vc_column_text] En Clínica Dental Mozas contamos con un profesional que se dedica al tratamiento de maloclusiones y apiñamientos…
[vc_row][vc_column][vc_column_text] Hoy os queremos hablar de la relación entre el Alzheimer y la boca. La enfermedad de Alzheimer es el…
FLUOR El flúor es un mineral esencial para el ser humano debido a su función en el organismo. Es …
[vc_row][vc_column][vc_column_text] Con una evaluación y un tratamiento profesional de un dentista que esté cualificado y tenga experiencia en periodoncia es…
IMPLANTE DENTAL: es un substituto del diente que se fija en los huesos maxilares. Sobre este tornillo del implante…
[vc_row][vc_column][vc_column_text] En nuestra Clínica Dental, muchas veces recibimos la consulta sobre los efectos del cigarrillo electrónico en la salud dental.…
El blanqueamiento dental es un tratamiento odontológico estético cada vez mas solicitado, ya que permite eliminar las manchas externas de…
[vc_row][vc_column][vc_column_text] Alargamiento de corona estético El alargamiento de corona estético es una cirugía que se realiza normalmente en los dientes…
[vc_row][vc_column][vc_single_image image=»793″ img_size=»full» alignment=»center»][vc_empty_space][vc_column_text css=».vc_custom_1741944068164{margin-top: -50px !important;padding-top: 25px !important;padding-right: 10% !important;padding-left: 10% !important;background-color: #ffffff !important;}»] A medida que los años…
En nuestro continuo afán de progreso y apostando siempre por la innovación, en Clínica Dental Mozas, hemos incorporado en nuestras…
Los dientes son una pieza ósea dura y blanca que crece en la cavidad oral humana y en algunos animales,…
¿Cada cuanto tengo que ir al dentista? Normalmente pensamos que solo debemos acudir al dentista cuando sentimos dolor, pero esto…
[vc_row][vc_column width=»1/6″][/vc_column][vc_column width=»2/3″ css=».vc_custom_1592236586491{margin-top: -100px !important;padding-top: 50px !important;padding-right: 50px !important;padding-bottom: 50px !important;padding-left: 50px !important;background-color: #ffffff !important;}»][vc_column_text]El cáncer oral es cada…
Odontopediatría y tratamientos dentales en niños La odontopediatría es la rama de la odontología especializada en el cuidado de los…
[vc_row bg_type=»bg_color» css=».vc_custom_1590479044483{margin-top: -100px !important;padding-top: 5% !important;padding-right: 5% !important;padding-bottom: 5% !important;padding-left: 5% !important;background-color: #ffffff !important;}» bg_color_value=»#ffffff»][vc_column width=»1/6″][/vc_column][vc_column width=»2/3″ css=».vc_custom_1590479163296{margin-top: -120px…
El colutorio o enjuague bucal es una herramienta útil para complementar una correcta higiene dental, pero nunca debe sustituir un…
La salud bucodental es esencial para mantener una buena salud general, y aun mas durante el embarazo. Durante este periodo,…
Debido a la situación que estamos viviendo del COVID 19, puede que sientas miedo a salir de casa. Las autoridades…
[vc_row][vc_column][vc_single_image image=»549″ img_size=»full» alignment=»center»][/vc_column][/vc_row][vc_row][vc_column width=»1/6″][/vc_column][vc_column width=»2/3″ css=».vc_custom_1587024836829{margin-top: -80px !important;padding-top: 40px !important;padding-right: 40px !important;padding-left: 40px !important;background-color: #ffffff !important;}»][vc_column_text] Restringir el consumo…
[vc_row][vc_column][vc_single_image image=»538″ img_size=»full» alignment=»center»][/vc_column][/vc_row][vc_row css=».vc_custom_1586371943366{margin-top: -110px !important;}»][vc_column width=»1/6″][/vc_column][vc_column width=»2/3″ css=».vc_custom_1586372119367{margin-top: -90px !important;padding-top: 10% !important;padding-right: 10% !important;padding-left: 10% !important;background-color: #ffffff !important;}»][vc_column_text]…
[vc_row][vc_column][vc_column_text] ¿QUE SON LAS AMALGAMAS? La amalgama dental es un material de obturación (empaste) compuesto por Mercurio y otros metales…
[vc_row][vc_column][vc_column_text] El Ratoncito Pérez y la salud bucal infantil: Una tradición que enseña a cuidar los dientes En Clínica Dental…
[vc_row][vc_column][vc_column_text] Las prótesis dentales, tanto fijas como removibles, requieren un mantenimiento adecuado para asegurar su durabilidad y el bienestar bucal…
[vc_row][vc_column][vc_column_text] El 8 de noviembre se ha celebrado en Bilbao la reunión territorial de BQDC. A ella han asistido doctores,…
[vc_row][vc_column][vc_column_text css=»»] Deporte y salud bucal: La importancia del cuidado dental en los deportistas La salud bucodental esta estrechamente…
[vc_row][vc_column][vc_column_text] Radioterapia y su impacto en la salud bucal La radioterapia en la zona de la cabeza y el…
[vc_row][vc_column][vc_column_text] Tratamiento del síndrome de boca seca (xerostomía) El síndrome de boca seca o xerostomía se caracteriza por la disminución…
[vc_row][vc_column width=»1/2″][vc_column_text] Durante el verano, especialmente durante las vacaciones, es común que cambiemos nuestros hábitos, lo que puede aumentar el…
[vc_row][vc_column][vc_column_text] Para disfrutar de una buena calidad de vida y mantener una óptima salud bucodental, es esencial prestar atención a lo que comemos…
LA SENSIBILIDAD DENTAL EN INVIERNO: COMO PREVENIRLA Y TRATARLA Con la llegada del invierno, muchas personas experimentan sensibilidad dental debido…
Las furcas, fisuras y hemisecciones, son topos de lesiones de los dientes y actuaciones sobre las muelas y dientes:…
Leer¿Dónde hacerte una higiene bucodental en un dentista de Vitoria? La higiene bucodental es el tratamiento que se conoce como…
Leer[vc_row][vc_column][vc_column_text]¿Te estas preguntando si hacerte un blanqueamiento en Vitoria Gasteiz? ¿No sabes a qué clínica dental acudir en Vitoria Gasteiz? ¿Tienes…
Leer[vc_row][vc_column][vc_column_text]Los injertos óseos se realizan para aumentar el ancho y la altura del hueso maxilar en el sitio del implante. Hay varios…
Leer[vc_row][vc_column][vc_column_text]Prevenir la gingivitis y la periodontitis Las enfermedades de las encías (gingivitis y periodontitis) se pueden prevenir cuidando la boca.…
Leer[vc_row][vc_column][vc_column_text] Actualmente podemos corregir las malocusiones y apiñamientos dentales mediante la ténica de ortodoncia invisible que nos permite enderezar los dientes y…
Leer[vc_row][vc_column][vc_column_text]Las causas más comunes de fallo del implante son la mala higiene bucal, antecedentes de periodontitis y tabaquismo. Si la…
Leer[vc_row][vc_column][vc_column_text] 1: Examen Después de discutir las opciones de tratamiento que son adecuadas para usted, su dentista llevará a cabo…
LeerSangrado de las encías o color rojizo Tus encías siempre deben presentar un color rosado. Si tus encías empiezan a…
LeerLa sonrisa es una de las primeras cosas en que nos fijamos al conocer a alguien. Más allá de transmitir…
El sangrado de encías al cepillarse es uno de los motivos de consulta más frecuentes en nuestra clínica dental en…
El blanqueamiento dental es uno de los tratamientos estéticos más solicitados en nuestra clínica. Sin embargo, muchos pacientes no saben…
La pérdida de un diente es un problema dental muy frecuente. En muchos casos, al principio puede parecer que no…
Una de las preguntas más frecuentes que escuchamos en Clínica Dental Mozas en Vitoria es: ¿cuándo debo llevar a mi…
¿Sabías que el estado de tus encías puede revelar mucho más que problemas bucales? La salud bucodental va más allá…
El miedo al dentista es una de las preocupaciones más frecuentes entre padres y madres cuando llega el momento de…
Iniciar un tratamiento de ortodoncia en Vitoria es una excelente decisión para mejorar tu salud bucal y conseguir una sonrisa…
¿Sabías que tus hormonas pueden influir directamente en la salud de tus encías? Muchas personas desconocen que etapas como la…
La enfermedad periodontal va mucho más allá de un problema bucal localizado. Numerosos estudios científicos han demostrado que existe una…
En Clínica Dental Mozas creemos que la salud bucodental infantil debe abordarse de forma integral, temprana y personalizada.Por eso, contamos…
En Clínica Dental Mozas, tu clínica de confianza en Vitoria-Gasteiz, te explicamos por qué ocurre, cómo saber si necesitas reemplazarlas…
El deseo de lucir una sonrisa más blanca ha llevado a muchas personas a buscar métodos de blanqueamiento dental naturales…
Elegir el cepillo de dientes correcto marca la diferencia en tu salud bucal. Seguramente te ha pasado: llegas a la…
La menopausia es una etapa natural en la vida de toda mujer que trae consigo importantes cambios hormonales. Estos cambios…
La periodoncia en Vitoria es una especialidad dental fundamental para mantener la salud de tus encías. En la Clínica Dental…
En Clínica Dental Mozas, con la experiencia de la doctora Carmen Mozas, directora de la clínica y un equipo especializado…
El blanqueamiento dental profesional es uno de los tratamientos de estética más solicitados en la actualidad. Y no es para…
El estrés es una respuesta natural del cuerpo ante situaciones que nos generan tensión, ya sea emocional o física. Sin…
¿Te preguntas cuál es el mejor tipo de ortodoncia para tu caso? En Clínica Dental Mozas, especialistas en ortodoncia en…
¿Te imaginas volver a sonreír sin pensar en ese diente que falta? Perder una pieza dental no solo afecta a…
La periodoncia es una rama de la odontología, con la cual prevenimos, diagnosticamos y tratamos las enfermedades que pueden aparecer…
Las tecnología innovadoras que conocemos, están transformando la experiencia tanto del paciente como del equipo de las clínicas dentales. Por…
¿Despiertas con dolor de mandíbula o dolores de cabeza? Descubre todo sobre el bruxismo y cómo tratarlo efectivamente en nuestra…
¿Buscas el mejor dentista infantil en Vitoria para tu hijo? Descubre todo lo que necesitas saber sobre odontopediatría y cuidado…
¿Buscas el mejor tratamiento de ortodoncia en Vitoria? Descubre todas las opciones disponibles y encuentra la solución perfecta para tu…
¿Estás considerando realizarte un Implante dental en Vitoria? Esta guía te proporcionará toda la información necesaria para tomar una decisión…
Los piercings en la boca se han convertido en una tendencia popular entre los jóvenes y adultos que buscan añadir…
En Clínica Dental Mozas, situada en el centro de Vitoria, nos especializamos en ofrecer tratamientos dentales avanzados y personalizados. Uno…
Mantener una sonrisa saludable y estética es clave no solo por tu salud bucal, sino también para tu bienestar general.…
Una sonrisa saludable no solo es esencial para nuestra imagen, sino también para nuestra salud general. En la Clínica dental…
La estética dental en Vitoria ha experimentado un auge considerable en los últimos años. La gente se ha vuelto cada…
La muela del juicio, también conocida como tercer molar, son los últimos dientes que aparecen en la parte posterior de…
La salud de las encías es fundamental para mantener una boca sana, y las enfermedades periodontales, como la gingivitis y…
Las caries dentales son una de las afecciones mas comunes que afectan la salud bucal de las personas. Se producen…
El dolor de muelas es una de las molestias mas comunes que pueden surgir de forma inesperada, interrumpiendo nuestras actividades…
Si estas buscando tratamientos de ortodoncia, la Clínica dental mozas, te ofrece una amplia variedad de opciones para corregir los…
[vc_row][vc_column][vc_column_text css=»»]¿Por que es esencial al menos una limpieza dental profesional al año? Realizar una limpieza dental profesional al menos…
Los implantes dentales en Vitoria se han convertido en una las opciones mas populares para restaurar dientes perdidos o dañados.…
La salud dental de nuestros hijos es fundamental para su bienestar general, y comenzar con las visitas al dentista infantil…
[vc_row][vc_column][vc_column_text css=»»] LA HALITOSIS La halitosis es lo que conocemos coloquialmente como mal aliento (olor desagradable en el aire exhalado).…
Cuidar la salud dental es fundamental para mantener una sonrisa saludable y evitar problemas dentales a largo plazo. Tanto los…
El blanqueamiento dental es uno de los tratamientos estéticos mas demandados para mejorar la sonrisa y recuperar la confianza en…
La salud bucal es un aspecto fundamental para nuestro bienestar general, y muchas veces no somos consientes de la importancia…
¿Qué es la exploración periodontal? La exploración periodontal consiste en ver el estado de las encías del paciente observando su…
[vc_row][vc_column][vc_column_text css=»»]Desde el equipo de la Clínica Dental Mozas, tu clínica de referencia, queremos informarte sobre la amigdalitis. ¿Qué es…
¿Sabías que el herpes labial o lo que se conoce también como herpes febril, se trata de una infección vírica…
[vc_row][vc_column][vc_column_text] Consejos para después de un empaste Cuando se realiza un empaste u obturación en principio no hay que tener…
[vc_row][vc_column][vc_column_text] El cepillado dental es un hábito indispensable para prevenir las dos patologías más frecuentes bucodentales: la caries y la…
Para un niño con una lesión de caries en un diente permanente hay que elegir la estrategia de manejo de…
[vc_row][vc_column][vc_column_text] Asesorando al paciente y a la familia La prevención y el tratamiento exitoso de la caries depende de una…
[vc_row][vc_column][vc_column_text] El paciente infantil presenta características y necesidades distintivas debido a: Un riesgo de caries potencialmente alto Una inmadurez del…
[vc_row][vc_column][vc_column_text] ¿Para qué sirve la lengua? La lengua es un órgano fundamentalmente muscular muy vascularizado que tiene tres funciones principales:…
[vc_row][vc_column][vc_column_text] El dolor de dientes con origen en el diente El dolor dental es un amplio término que describe las…
[vc_row][vc_column][vc_column_text] La anestesia de los dentistas La mayoría de los tratamientos dentales requieren anestesia para la comodidad del paciente. La…
[vc_row][vc_column][vc_column_text] ¿Cuáles son los problemas bucodentales en el adulto senior y cómo prevenirlos? Son muchos los factores que influyen en…
[vc_row][vc_column][vc_column_text] Candidiasis oral = hongos en la boca Ciertos microorganismos viven normalmente en nuestros cuerpos. Estos incluyen bacterias y hongos.…
[vc_row][vc_column][vc_column_text] La saliva es un líquido transparente formado mayoritariamente por agua, y, en un 1%, por otros componentes orgánicos e…
[vc_row][vc_column][vc_column_text] ¿Qué es una férula dental de descarga? La férula de descarga para el bruxismo evita el apretamiento y rechinamiento…
[vc_row][vc_column][vc_column_text] CONSEJOS DESPUÉS DE UN EMPASTE: Realizar un empaste dental se ha convertido en una práctica muy habitual en…
[vc_row][/vc_row][vc_column][/vc_column][vc_column_text]Todavía hay personas, especialmente los niños, que temen el momento de acudir al dentista, y eso lleva a aplazar los…
En el día a día de la clínica es muy habitual que los pacientes me pregunten si hay que cepillarse…
[vc_row][vc_column][vc_column_text] ¿Cuáles son los síntomas de las muelas del juicio? Las muelas del juicio pueden llegar a ser…
[vc_row][vc_column][vc_column_text] Analizando la ortodoncia invisible Ventajas Estos son algunas de las ventajas que ofrece la ortodoncia invisible: Invisible No duele…
En este artículo respondemos a las preguntas más frecuentes que nos hacen nuestros pacientes acerca del blanqueamiento dental. ¿Quieres saber…
La limpieza dental es el tratamiento que técnicamente se denomina como higiene dental. Durante este tratamiento se pretende eliminar…
[vc_row][vc_column][vc_column_text] En el artículo de hoy, te decimos todo lo que necesitas saber acerca de uno de los órganos más…
[vc_row][vc_column][vc_column_text] ¿Alguna vez te has preguntado cuántos dientes tiene un adulto? Una persona con boca sana podría llegar a tener…
[vc_row][vc_column][vc_column_text] Los dientes pueden desgastarse por muchos motivos: El de la edad y desgaste por uso de los dientes en…
Probablemente, una pregunta que no nos hemos hecho nunca es a qué edad salen los dientes, pero cuando tenemos un…
Sabemos que los dientes son muy importantes porque tienen función masticatoria y en definitiva, nos ayudan a comer, pero además…
La respuesta es sí. Los dientes de leche son muy importantes por las siguientes razones: Permiten morder y masticar la…
La caries de los bebés y los niños pequeños se llama caries de la primera infancia. Puede destruir los dientes…
¿Qué tengo que hacer si mi hijo se ha golpeado en un diente? Lo primero que se debe hacer y…
[vc_row][vc_column][vc_column_text]¿Crees que tienes los dientes amarillos? En este artículo, os despejamos dudas sobre este tema. Dientes amarillos: Causas Cuando nacemos…
[vc_row][vc_column][vc_column_text]Como en todas las profesiones, hay mucha información que a los pacientes les llega de una manera, luego estos, la…
¿Has mirado el color de tus encías? El color de tus encías determina tu salud bucodental. ¿Sabías que su aspecto…
Tenemos una serie de mitos sobre la ortodoncia. ¿Sabrías decirnos si son verdaderos o falsos?: Los alineadores de ortodoncia son…
[vc_row][vc_column][vc_column_text]Muchas son las dudas que circulan alrededor de las muelas del juicio o cordales. En este post os aclaramos muchas de…
[vc_row][vc_column][vc_column_text]Los dientes de leche son aquellos que salen los primeros en la boca de los niños con el fin ser…
Muchos nos pregustáis: ¿Qué son las caries?, ¿por qué salen? ¿cómo evitarlas? A continuación os aclaramos todas estas cuestiones y…
[vc_row][vc_column][vc_column_text] En general, no se sabe mucho acerca de la anatomía bucal. Más allá de los dientes, lengua, labios y…
[vc_row][vc_column][vc_column_text]Cuidar de nuestra salud oral es muy importante y a menudo se subestima. Una gran parte de ese cuidado pasa…
[vc_row][vc_column][vc_column_text]En general, a nivel de calle, no se sabe mucho sobre la periodontitis. Como ya hemos mencionado, la periodoncia es…
[vc_row][vc_column][vc_column_text]Ahora que llega el buen tiempo, nos animamos más a practicar algún tipo de deporte. Desde la Clínica Dental Mozas,…
Las revisiones al dentista sí son necesarias. Mínimo una vez al año, todos tendríamos que acudir todos al dentista. Ya…
[vc_row][vc_column][vc_column_text]Hay muchos pacientes que son portadores de prótesis dentales, ya sean removibles o fijas y el mantenimiento de prótesis es…
[vc_row][vc_column][vc_column_text] EMPASTE DENTAL Un empaste dental es coloquialmente el relleno de un agujero en un diente. Es decir, normalmente…
[vc_row][vc_column][vc_column_text] Férula de descarga Es un tipo de Férula de protesis que utilizamos en Odontología y Cirugía Maxilofacial, como tratamiento…
[vc_row][vc_column][vc_column_text] Ácido hialurónico En primer lugar , comenzaremos definiendo que es el ácido hialurónico. El ácido hialurónico es un tipo…
[vc_row][vc_column][vc_column_text] En la actualidad parece que hay un mayoritario rechazo por llevar metales en el interior de nuestro cuerpo. En…
[vc_row][vc_column][vc_column_text] Hoy vamos a enseñaros las diferentes pruebas que se realizan en la radiología dental. Ortopantomografia La Ortopantomografía o también…
[vc_row][vc_column][vc_column_text]La salud oral en la tercera edad, es una de las etapas de mayor importancia para el ser humano y…
[vc_row][vc_column][vc_column_text] Para aclarar si la ortodoncia es un capricho o una necesidad, hay que aclarar que la ortodoncia no es…
Corren muchos rumores acerca de los dientes deciduos y para desmentir algunos de esos mitos sobre los dientes de leche,…
[vc_row][vc_column][vc_column_text] En el artículo de hoy vamos a hablaros de la anatomía craneal de la boca. Veremos cada uno de…
En primer lugar hay definimos esta articulación temporomandibular como la articulación que conecta la mandíbula al resto del cráneo. En…
En primer lugar, comenzaremos describiendo que es el síndrome de la boca seca o Xerostomía. Este es un desorden complejo…
¿QUÉ HACER ANTE UN TRAUMATISMO DENTAL? Primeramente hay que dejar bien claro que todos los traumatismos dentales deben ser considerados…
La mayoría de las personas considera que la sonrisa es la característica más importante de la boca, pero es más…
En este artículo vamos a hablaros de las diferentes partes anatómicas del diente. Cúspide La cúspide es la parte…
¿ LA DIABETES AFECTA A MI BOCA? ¿Puede la diabetes afectar a mi boca? : En primer lugar debemos definir…
¿CÓMO ELEGIR A TU DENTISTA? La elección de un profesional sanitario no es tarea fácil. Influyen muchos factores a la…
¿QUE ES? En primer lugar, la higiene interdental ,como su propio nombre indica, se trata de la higiene que realizamos…
[vc_row][vc_column][vc_column_text] INCRUSTACIÓN RESTAURACIONES INDIRECTAS Las incrustaciones, son restauraciones indirectas, que tienen como objetivo reparar piezas en las que haya que…
[vc_row][vc_column][vc_column_text] Caries: La caries es la enfermedad infecciosa dental más extendida y frecuente entre todos los seres humanos. Se conoce…
El bruxismo es el término médico para lo que comúnmente conocemos como el rechinamiento dental. Puede deberse a varias causas:…
TIPOS DE ANESTESIA Anestesia local La anestesia local es la sustancia química administrada para provocar la pérdida temporal de la…
CLINICA ESTETICA DENTAL VITORIA En Clínica Dental Mozas, situada en Calle Postas 37 en Vitoria, vemos la cavidad oral como…
Las furcas, fisuras y hemisecciones, son topos de lesiones de los dientes y actuaciones sobre las muelas y dientes:…
¿Dónde hacerte una higiene bucodental en un dentista de Vitoria? La higiene bucodental es el tratamiento que se conoce como…
[vc_row][vc_column][vc_column_text]Las Aftas, son pequeñas ulceraciones dolorosas, que desaparecen en unos días. En ocasiones, surgen de forma repentina y sin relación…
[vc_row][vc_column][vc_column_text]¿Te estas preguntando si hacerte un blanqueamiento en Vitoria Gasteiz? ¿No sabes a qué clínica dental acudir en Vitoria Gasteiz? ¿Tienes…
[vc_row][vc_column][vc_column_text]Los injertos óseos se realizan para aumentar el ancho y la altura del hueso maxilar en el sitio del implante. Hay varios…
[vc_row][vc_column][vc_column_text]Prevenir la gingivitis y la periodontitis Las enfermedades de las encías (gingivitis y periodontitis) se pueden prevenir cuidando la boca.…
[vc_row][vc_column][vc_column_text] Actualmente podemos corregir las malocusiones y apiñamientos dentales mediante la ténica de ortodoncia invisible que nos permite enderezar los dientes y…
[vc_row][vc_column][vc_column_text]Las causas más comunes de fallo del implante son la mala higiene bucal, antecedentes de periodontitis y tabaquismo. Si la…
[vc_row][vc_column][vc_column_text] 1: Examen Después de discutir las opciones de tratamiento que son adecuadas para usted, su dentista llevará a cabo…
Sangrado de las encías o color rojizo Tus encías siempre deben presentar un color rosado. Si tus encías empiezan a…
[vc_row][vc_column][vc_column_text] Son muchos los estudios que han demostrado la importancia del mantenimiento periodontal en pacientes con una mayor susceptibilidad con…
Clínica Dental Vitoria Si estás buscando una clínica dental en Vitoria has dado con tu clínica de…
[vc_row][vc_column][vc_column_text] Clínica Dental Mozas es una clínica pionera en tratamientos de ortodoncia invisible en Vitoria ya que se realizan desde…
[vc_row][vc_column][vc_column_text] ¿Qué es una caries dental? Es una enfermedad infecciosa multifactorial que sufre el 90% de la población mundial. La…
ENCIA QUERATINIZADA. Para proceder a definir qué es la encía queratinizada, primero nos dispondremos a explicar cada una…
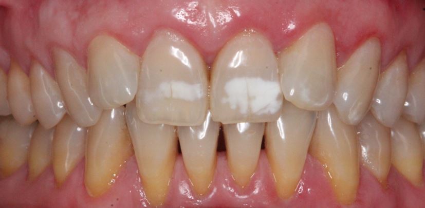
¿Qué son las manchas blancas? Las manchas blancas en los dientes, muy frecuentes en los incisivos (palas) es conocido técnicamente…
[vc_row][vc_column][vc_column_text] En Clínica Dental Mozas contamos con un profesional que se dedica al tratamiento de maloclusiones y apiñamientos…
[vc_row][vc_column][vc_column_text] Hoy os queremos hablar de la relación entre el Alzheimer y la boca. La enfermedad de Alzheimer es el…
FLUOR El flúor es un mineral esencial para el ser humano debido a su función en el organismo. Es …
[vc_row][vc_column][vc_column_text] Con una evaluación y un tratamiento profesional de un dentista que esté cualificado y tenga experiencia en periodoncia es…
IMPLANTE DENTAL: es un substituto del diente que se fija en los huesos maxilares. Sobre este tornillo del implante…
[vc_row][vc_column][vc_column_text] En nuestra Clínica Dental, muchas veces recibimos la consulta sobre los efectos del cigarrillo electrónico en la salud dental.…
El blanqueamiento dental es un tratamiento odontológico estético cada vez mas solicitado, ya que permite eliminar las manchas externas de…
[vc_row][vc_column][vc_column_text] Alargamiento de corona estético El alargamiento de corona estético es una cirugía que se realiza normalmente en los dientes…
[vc_row][vc_column][vc_single_image image=»793″ img_size=»full» alignment=»center»][vc_empty_space][vc_column_text css=».vc_custom_1741944068164{margin-top: -50px !important;padding-top: 25px !important;padding-right: 10% !important;padding-left: 10% !important;background-color: #ffffff !important;}»] A medida que los años…
En nuestro continuo afán de progreso y apostando siempre por la innovación, en Clínica Dental Mozas, hemos incorporado en nuestras…
Los dientes son una pieza ósea dura y blanca que crece en la cavidad oral humana y en algunos animales,…
¿Cada cuanto tengo que ir al dentista? Normalmente pensamos que solo debemos acudir al dentista cuando sentimos dolor, pero esto…
[vc_row][vc_column width=»1/6″][/vc_column][vc_column width=»2/3″ css=».vc_custom_1592236586491{margin-top: -100px !important;padding-top: 50px !important;padding-right: 50px !important;padding-bottom: 50px !important;padding-left: 50px !important;background-color: #ffffff !important;}»][vc_column_text]El cáncer oral es cada…
Odontopediatría y tratamientos dentales en niños La odontopediatría es la rama de la odontología especializada en el cuidado de los…
[vc_row bg_type=»bg_color» css=».vc_custom_1590479044483{margin-top: -100px !important;padding-top: 5% !important;padding-right: 5% !important;padding-bottom: 5% !important;padding-left: 5% !important;background-color: #ffffff !important;}» bg_color_value=»#ffffff»][vc_column width=»1/6″][/vc_column][vc_column width=»2/3″ css=».vc_custom_1590479163296{margin-top: -120px…
El colutorio o enjuague bucal es una herramienta útil para complementar una correcta higiene dental, pero nunca debe sustituir un…
La salud bucodental es esencial para mantener una buena salud general, y aun mas durante el embarazo. Durante este periodo,…
Debido a la situación que estamos viviendo del COVID 19, puede que sientas miedo a salir de casa. Las autoridades…
[vc_row][vc_column][vc_single_image image=»549″ img_size=»full» alignment=»center»][/vc_column][/vc_row][vc_row][vc_column width=»1/6″][/vc_column][vc_column width=»2/3″ css=».vc_custom_1587024836829{margin-top: -80px !important;padding-top: 40px !important;padding-right: 40px !important;padding-left: 40px !important;background-color: #ffffff !important;}»][vc_column_text] Restringir el consumo…
[vc_row][vc_column][vc_single_image image=»538″ img_size=»full» alignment=»center»][/vc_column][/vc_row][vc_row css=».vc_custom_1586371943366{margin-top: -110px !important;}»][vc_column width=»1/6″][/vc_column][vc_column width=»2/3″ css=».vc_custom_1586372119367{margin-top: -90px !important;padding-top: 10% !important;padding-right: 10% !important;padding-left: 10% !important;background-color: #ffffff !important;}»][vc_column_text]…
[vc_row][vc_column][vc_column_text] ¿QUE SON LAS AMALGAMAS? La amalgama dental es un material de obturación (empaste) compuesto por Mercurio y otros metales…
[vc_row][vc_column][vc_column_text] El Ratoncito Pérez y la salud bucal infantil: Una tradición que enseña a cuidar los dientes En Clínica Dental…
[vc_row][vc_column][vc_column_text] Las prótesis dentales, tanto fijas como removibles, requieren un mantenimiento adecuado para asegurar su durabilidad y el bienestar bucal…
[vc_row][vc_column][vc_column_text] El 8 de noviembre se ha celebrado en Bilbao la reunión territorial de BQDC. A ella han asistido doctores,…
[vc_row][vc_column][vc_column_text css=»»] Deporte y salud bucal: La importancia del cuidado dental en los deportistas La salud bucodental esta estrechamente…
[vc_row][vc_column][vc_column_text] Radioterapia y su impacto en la salud bucal La radioterapia en la zona de la cabeza y el…
[vc_row][vc_column][vc_column_text] Tratamiento del síndrome de boca seca (xerostomía) El síndrome de boca seca o xerostomía se caracteriza por la disminución…
[vc_row][vc_column width=»1/2″][vc_column_text] Durante el verano, especialmente durante las vacaciones, es común que cambiemos nuestros hábitos, lo que puede aumentar el…
[vc_row][vc_column][vc_column_text] Para disfrutar de una buena calidad de vida y mantener una óptima salud bucodental, es esencial prestar atención a lo que comemos…
LA SENSIBILIDAD DENTAL EN INVIERNO: COMO PREVENIRLA Y TRATARLA Con la llegada del invierno, muchas personas experimentan sensibilidad dental debido…
Usamos cookies para mejorar su experiencia de navegación, mostrarle anuncios o contenidos personalizados y analizar nuestro tráfico. Al hacer clic en “Aceptar todo” usted da su consentimiento a nuestro uso de las cookies.